Diagnóstico por imagen en el infarto cerebral

Diagnóstico por imagen en el infarto cerebral

El diagnóstico actual de infarto cerebral agudo se basa en la realización de técnicas simples y avanzadas de Tomografía Computarizada (TC) y de Resonancia magnética (RM). Con ambas técnicas radiológicas es posible conseguir cinco objetivos: Demostrar la presencia de...
Artrografía, Artroct y Artrorm

Artrografía, Artroct y Artrorm

La artrografía es el estudio radiológico de una articulación tras la inyección de contraste intraarticular.  El pequeño tamaño de algunas de las estructuras intraarticulares, así como del cartílago intraarticular, junto con el aumento de las técnicas quirúrgicas, ha...
Radiómica y teragnosis

Radiómica y teragnosis

Decía Galileo: “La Ciencia es la medida, medir lo medible y hacer medible lo que no es medible. Los números son el lenguaje de Dios”. Las imágenes médicas contienen una información amplísima y que generalmente no es suficientemente explotada. Desde que estas imágenes...
La TC en la cardiopatía isquémica

La TC en la cardiopatía isquémica

La enfermedad coronaria y la cardiopatía isquémica constituyen la principal causa de morbimortalidad y fallecimiento en la población adulta española. En el año 2013, se estima que la incidencia de infarto agudo de miocardio en sujetos de entre 25 y 74 años fue de...
PET/TAC y PET/RM en demencias

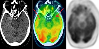
PET/TAC y PET/RM en demencias

El objetivo del Informe es recomendar cuándo es útil el uso de biomarcadores de imagen molecular en los diversos tipos de demencias. Está bien establecida la utilidad de PET/TAC con FDG. Sin embargo, la aparición reciente de nuevos biomarcadores de PET como los...