CATEGORÍA:
Dermatología, MasterClass
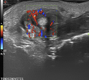
Ecografía en el paciente con psoriasis
Course Access: Lifetime
Descripción del curso
La psoriasis en la actualidad es considerada una enfermedad inflamatoria multisistémica que necesita una evaluación integral de cada uno de los órganos diana que pueden ser afectados.
Desde la piel pasando por el sistema articular, la uña o incluso el sistema cardiovascular, la evaluación precoz de estos pacientes puede evitar un aumento en la morbimortalidad del paciente psoriásico.
La ecografía por su inocuidad, accesibilidad y disponibilidad es una herramienta en la valoración integral del paciente con psoriasis y nos ofrece la posibilidad de detectar las alteraciones en los órganos diana incluso en fases subclínicas con el debido entrenamiento.
