CATEGORÍA:
Ginecología, Recomendaciones
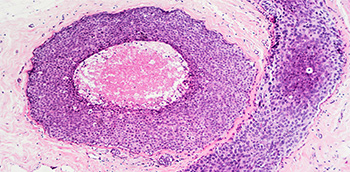
Ganglio centinela y cáncer de mama
Course Access: Lifetime
Descripción del curso
El término neoadyuvancia (NA) se introdujo con la idea de expresar una nueva forma de emplear la quimioterapia, antes del tratamiento quirúrgico. Se ha denominado también quimioterapia de inducción o quimioterapia inicial.
El tratamiento NA se ha indicado clásicamente en pacientes con tumores inflamatorios o en los localmente avanzados o con metástasis axilares, pacientes no operables o difícilmente resecables. En la actualidad se indica también en determinados tumores operables con cierto perfil biológico con dos objetivos:
- Reducir el tamaño tumoral y aumentar el porcentaje de pacientes que se benefician de la cirugía conservadora, y
- Evaluar la quimiosensibilidad in vivo de determinada lesión a un tratamiento concreto, permitiéndonos realizar cambios en el momento.
