Metatarsalgia
El término “metatarsalgia” se define como el dolor que se localiza en la parte anterior del pie, entre y por debajo de los metatarsos. Es una patología más frecuente en mujeres por un componente mixto congénito, actividad pero también por una influencia importante del calzado.
La metatarsalgia se divide en causas biomecánicas y las causas mixtas. La causa más importante es una alteración biomecánica, como puede ser secundario a una sobrecarga en el antepié en los casos de pie equino o pie cavo, a una insuficiencia del primer radio o una insuficiencia de los radios medios. Las causas mixtas incluyen lesiones en los sesamoideos, “turf toe”, fractura de estrés, lesiones tipo Freiberg, neuropatías, neuroma de Morton, etc.
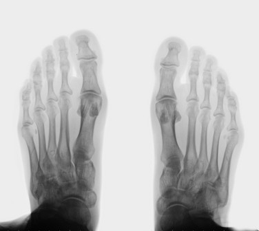
La exploración clínica y las pruebas de imagen son fundamentales para poder establecer el diagnóstico diferencial. Las radiografías en carga son esenciales como primera prueba y cuando junto con la exploración clínica se sospeche que exista una causa mixta o una complicación será la ecografía y la resonancia magnética las exploraciones complementarias necesarias.
