CATEGORÍA:
Casos Clínicos, Cuidados médico-quirúrgicos CC
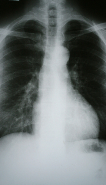
Plan de cuidados: EPOC
Course Access: Lifetime
Descripción del curso
En el siguiente caso clínico sobre el Plan de cuidados del paciente con EPOC se mostrarán los cuidados de enfermería a seguir para mejorar y prevenir posibles complicaciones de salud de estos pacientes.
Las autoras del caso clínico son Ana Isabel Terriza Torres y Mª José del Olmo Rubio, enfermeras del Hospital Universitario 12 de Octubre de Madrid. Ana Isabel Terriza ostenta el cargo de supervisora de Procesos y Sistematización de Cuidados y Mª José del Olmo Rubio es supervisora de Continuidad asistencial.
